
Exploracions i tècniques diagnòstiques
Realitzem una àmplia gamma de proves i estudis de gran qualitat i precisió
TAC
El TAC (Tomografia Axial Computeritzada) és una tècnica radiològica que permet veure l’interior dels òrgans, amb l’obtenció de múltiples imatges que es processen i s’integren en una de final. És la base del diagnòstic de moltes patologies com fractures, coàguls de sang, hemorràgies, problemes cardíacs o en la detecció de lesions sospitoses de càncer. La recopilació de dades és molt extensa i es poden determinar anomalies que no apareixen en una radiografia simple.
L’exploració per TAC és ràpida, indolora, no invasiva i precisa. A Imagine Barcelona disposem d'un aparell TAC SIEMENS Somatom SCOPE d'última generació que ens ha permès:
40% menys de radiació
50% menys de soroll
Imatges de màxima qualitat
MAMOGRAFIA 3D PER TOMOSÍNTESIS
És la radiografia de la mama. Es realitza amb el mamògraf, un equip radiològic especial que, amb molt baixa radiació, és capaç de detectar múltiples problemes en etapes molt precoces. És essencial per detectar el càncer de mama en una fase on la dona encara no ha experimentat símptomes.
Al nostre centre disposem d’un mamògraf 3D per tomosíntesi. Amb una suau compressió del pit, durant escassos segons, obtenim diverses imatges que són avaluades pels nostres metges radiòlegs. Després de realitzar la prova, en només 20 minuts, t’entregarem l’informe diagnòstic llest per lliurar-lo al teu especialista i, si cal, t’assessorarem en el camí a escollir en endavant.
ECOGRAFIA, ECOGRAFIA DOPPLER I SONOELASTOGRAFIA
L'ecografia és un mètode de diagnòstic per ultrasons, que genera imatges de les estructures del nostre interior. Té múltiples aplicacions: diagnòstics de malalties a la vesícula, problemes de pròstata o genitals, com a prova complementària de la mamografia (pit), per avaluar malalties òssies metabòliques o inflamació a les articulacions, per visualitzar l’úter i els ovaris durant l'embaràs, entre altres.
Combinat amb l'Ecografia Doppler Color i Power-Doppler, podem veure el flux de la sang. D’aquesta manera podem avaluar i dur a terme estudis vasculars de les lesions.
Finalment, la sonoelastografia, l'últim avenç en ultrasons -en la qual també som centre pioner- permet determinar si una lesió és o no maligna, sense necessitat de fer una biòpsia. Mostra l’elasticitat dels teixits i s’utilitza per a l’estudi de lesions focals i per la detecció primerenca de diferents tipus de càncer.
A Imagine Barcelona disposem de diversos ecògrafs de les marques més reconegudes. Els nostres doctors tenen un ampli coneixement i bagatge i estan en constant formació per aplicar els mètodes i pràctiques més innovadors.
DENSITOMETRIA
La densitometria és una prova diagnòstica que s’utilitza per determinar la Densitat Mineral Òssia (DMO). Els nostres densitòmetres són de baixa radiació i calculen la densitat dels ossos en diferents punts de l’esquelet.
Gràcies a aquesta prova preveiem el risc de patir fractures per osteoporosis, així com detectem canvis estructurals que esdevenen en ossos més fràgils.
Recomanem l’estudi a persones amb antecedents familiars d’osteoporosis o que pateixen malalties relacionades amb la pèrdua òssia, hipoparatiroïdisme i hiperparatiroïdisme.
RADIOLOGIA SIMPLE
La radiologia simple és el mètode més habitual de radiodiagnòstic. Es tracta del sistema més bàsic, però és imprescindible en la pràctica mèdica actual.
A Imagine Barcelona disposem d'un equip digitalitzat de radiologia convencional que permet la realització de tota mena de projeccions, així com de proves amb contrast, com la histerosalpingografia, la urografia intravenosa o el trànsit esofagogàstric, entre altres.
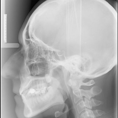
TELERADIOGRAFIA
La teleradiologia cranial es fonamenta en realitzar una radiografia de la cara del pacient. Es du a terme a una major distancia de l’habitual, a uns 2 metres de la placa, de manera que la imatge queda nítida i no es veu distorsionada per les estructures òssies del crani. Ens permet veure amb precisió els ossos de la cara i les dents del pacient. Poden ser frontals o laterals i, a part de ser fonamentals en l’ortodòncia, són molt útils en diagnòstics de patologies com la sinusitis.












































